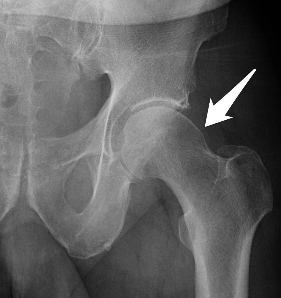
Cam Type Femoral Head . There are three types of fai: The loss of sphericity leads to shear forces at the chondrolabral junction during hip flexion and internal rotation which can then lead to. There is a lack of normal concavity at the. This type of impingement occurs because extra bone extends out over the normal rim of the acetabulum. Refers to femoral based disorder usually in young athletic males. Occurs if femoral head/neck bone is too broad, mostly on the.
from www.semanticscholar.org
This type of impingement occurs because extra bone extends out over the normal rim of the acetabulum. There are three types of fai: The loss of sphericity leads to shear forces at the chondrolabral junction during hip flexion and internal rotation which can then lead to. Refers to femoral based disorder usually in young athletic males. There is a lack of normal concavity at the. Occurs if femoral head/neck bone is too broad, mostly on the.
Figure 1 from Learning how to resurface camtype femoral heads with
Cam Type Femoral Head There is a lack of normal concavity at the. The loss of sphericity leads to shear forces at the chondrolabral junction during hip flexion and internal rotation which can then lead to. Occurs if femoral head/neck bone is too broad, mostly on the. There is a lack of normal concavity at the. There are three types of fai: Refers to femoral based disorder usually in young athletic males. This type of impingement occurs because extra bone extends out over the normal rim of the acetabulum.
From roberthowells.com.au
FemoroAcetabular Impingement Robert Howells Cam Type Femoral Head There is a lack of normal concavity at the. The loss of sphericity leads to shear forces at the chondrolabral junction during hip flexion and internal rotation which can then lead to. There are three types of fai: Refers to femoral based disorder usually in young athletic males. This type of impingement occurs because extra bone extends out over the. Cam Type Femoral Head.
From journals.lww.com
Learning How to Resurface CamType Femoral Heads with Accept... JBJS Cam Type Femoral Head The loss of sphericity leads to shear forces at the chondrolabral junction during hip flexion and internal rotation which can then lead to. There are three types of fai: Refers to femoral based disorder usually in young athletic males. Occurs if femoral head/neck bone is too broad, mostly on the. This type of impingement occurs because extra bone extends out. Cam Type Femoral Head.
From www.researchgate.net
Morphologic features of the proximal femur for the four study groups Cam Type Femoral Head There are three types of fai: The loss of sphericity leads to shear forces at the chondrolabral junction during hip flexion and internal rotation which can then lead to. There is a lack of normal concavity at the. Occurs if femoral head/neck bone is too broad, mostly on the. This type of impingement occurs because extra bone extends out over. Cam Type Femoral Head.
From damarionbilfisher.blogspot.com
Cam Type Femoroacetabular Impingement Radiology DamarionbilFisher Cam Type Femoral Head Occurs if femoral head/neck bone is too broad, mostly on the. Refers to femoral based disorder usually in young athletic males. There are three types of fai: The loss of sphericity leads to shear forces at the chondrolabral junction during hip flexion and internal rotation which can then lead to. There is a lack of normal concavity at the. This. Cam Type Femoral Head.
From boneandjoint.org.uk
The alpha angle in camtype femoroacetabular impingement Bone & Joint Cam Type Femoral Head There is a lack of normal concavity at the. This type of impingement occurs because extra bone extends out over the normal rim of the acetabulum. Occurs if femoral head/neck bone is too broad, mostly on the. Refers to femoral based disorder usually in young athletic males. There are three types of fai: The loss of sphericity leads to shear. Cam Type Femoral Head.
From backtoactive.com.au
Femoroacetabular Impingement (FAI) Back to Active Sports and Spinal Cam Type Femoral Head There is a lack of normal concavity at the. Refers to femoral based disorder usually in young athletic males. There are three types of fai: Occurs if femoral head/neck bone is too broad, mostly on the. This type of impingement occurs because extra bone extends out over the normal rim of the acetabulum. The loss of sphericity leads to shear. Cam Type Femoral Head.
From one-treatment.blogspot.com
Cam Type Femoroacetabular Impingement Treatment One Treatment Cam Type Femoral Head Occurs if femoral head/neck bone is too broad, mostly on the. The loss of sphericity leads to shear forces at the chondrolabral junction during hip flexion and internal rotation which can then lead to. Refers to femoral based disorder usually in young athletic males. There are three types of fai: This type of impingement occurs because extra bone extends out. Cam Type Femoral Head.
From pubs.rsna.org
Femoroacetabular Camtype Impingement Global Assessment of the Femoral Cam Type Femoral Head Refers to femoral based disorder usually in young athletic males. The loss of sphericity leads to shear forces at the chondrolabral junction during hip flexion and internal rotation which can then lead to. Occurs if femoral head/neck bone is too broad, mostly on the. There is a lack of normal concavity at the. This type of impingement occurs because extra. Cam Type Femoral Head.
From bjsm.bmj.com
Cam morphology in young male football players mostly develops before Cam Type Femoral Head Refers to femoral based disorder usually in young athletic males. There is a lack of normal concavity at the. Occurs if femoral head/neck bone is too broad, mostly on the. There are three types of fai: The loss of sphericity leads to shear forces at the chondrolabral junction during hip flexion and internal rotation which can then lead to. This. Cam Type Femoral Head.
From dralisongrimaldi.com
Cam Morphology Development and Prevention Find out more Cam Type Femoral Head There are three types of fai: The loss of sphericity leads to shear forces at the chondrolabral junction during hip flexion and internal rotation which can then lead to. Refers to femoral based disorder usually in young athletic males. This type of impingement occurs because extra bone extends out over the normal rim of the acetabulum. Occurs if femoral head/neck. Cam Type Femoral Head.
From www.wjgnet.com
Corrections in alpha angle following two different operative approaches Cam Type Femoral Head There is a lack of normal concavity at the. Occurs if femoral head/neck bone is too broad, mostly on the. Refers to femoral based disorder usually in young athletic males. The loss of sphericity leads to shear forces at the chondrolabral junction during hip flexion and internal rotation which can then lead to. This type of impingement occurs because extra. Cam Type Femoral Head.
From www.researchgate.net
Designing of femoral head jig (3A and 3B) and neck jig (3C and 3D) on Cam Type Femoral Head Occurs if femoral head/neck bone is too broad, mostly on the. There is a lack of normal concavity at the. There are three types of fai: This type of impingement occurs because extra bone extends out over the normal rim of the acetabulum. Refers to femoral based disorder usually in young athletic males. The loss of sphericity leads to shear. Cam Type Femoral Head.
From www.researchgate.net
Cam femoral acetabular impingement. Axial oblique proton density images Cam Type Femoral Head The loss of sphericity leads to shear forces at the chondrolabral junction during hip flexion and internal rotation which can then lead to. Occurs if femoral head/neck bone is too broad, mostly on the. This type of impingement occurs because extra bone extends out over the normal rim of the acetabulum. Refers to femoral based disorder usually in young athletic. Cam Type Femoral Head.
From drdavidgeier.com
Hip injury 7 common causes of hip pain in active people Dr Geier Cam Type Femoral Head There are three types of fai: This type of impingement occurs because extra bone extends out over the normal rim of the acetabulum. There is a lack of normal concavity at the. Refers to femoral based disorder usually in young athletic males. The loss of sphericity leads to shear forces at the chondrolabral junction during hip flexion and internal rotation. Cam Type Femoral Head.
From www.semanticscholar.org
Figure 1 from Learning how to resurface camtype femoral heads with Cam Type Femoral Head The loss of sphericity leads to shear forces at the chondrolabral junction during hip flexion and internal rotation which can then lead to. Refers to femoral based disorder usually in young athletic males. There is a lack of normal concavity at the. This type of impingement occurs because extra bone extends out over the normal rim of the acetabulum. Occurs. Cam Type Femoral Head.
From www.markowtrainingsystems.com
FAI All About Femoral Acetabulum Impingement Markow Training Systems Cam Type Femoral Head There are three types of fai: The loss of sphericity leads to shear forces at the chondrolabral junction during hip flexion and internal rotation which can then lead to. Refers to femoral based disorder usually in young athletic males. There is a lack of normal concavity at the. This type of impingement occurs because extra bone extends out over the. Cam Type Femoral Head.
From www.researchgate.net
The mechanism of development of camtype FAI in femoral heads after Cam Type Femoral Head The loss of sphericity leads to shear forces at the chondrolabral junction during hip flexion and internal rotation which can then lead to. Refers to femoral based disorder usually in young athletic males. Occurs if femoral head/neck bone is too broad, mostly on the. There are three types of fai: This type of impingement occurs because extra bone extends out. Cam Type Femoral Head.
From www.researchgate.net
Signs of bilateral femuroacetabular CAM impingement (arrows). Figura Cam Type Femoral Head Refers to femoral based disorder usually in young athletic males. There are three types of fai: The loss of sphericity leads to shear forces at the chondrolabral junction during hip flexion and internal rotation which can then lead to. This type of impingement occurs because extra bone extends out over the normal rim of the acetabulum. There is a lack. Cam Type Femoral Head.